Published: 09 March, 2022 | Volume 6 - Issue 1 | Pages: 001-011
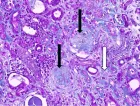
Figure 5:
Read Full Article HTML DOI: 10.29328/journal.niogb.1001017 Cite this Article Read Full Article PDF
If you are already a member of our network and need to keep track of any developments regarding a question you have already submitted, click "take me to my Query."